近日,山西省儿童医院普外科成功为一名患儿实施“全腹腔镜下胰头部肿瘤切除术”,标志着医院在小儿复杂腹腔镜手术领域取得重大突破,填补了省内儿童胰腺肿瘤微创治疗的技术空白。
精准微创,挑战儿童外科“高地”
胰腺手术因解剖位置深、操作空间狭小、周围血管神经密集,一直是小儿外科领域的难点。传统开腹手术创伤大、恢复慢,而全腹腔镜技术对团队协作和操作精度要求极高。此次手术中,副院长席红卫带领普外科副主任崔强强凭借丰富的微创经验,在精细解剖、严密止血的基础上,完整切除患儿胰头部肿瘤,同时最大限度保护周围脏器功能。术后患儿恢复良好,充分体现了微创手术“创伤小、疼痛轻、恢复快”的优势。


多学科协作,护航复杂病例
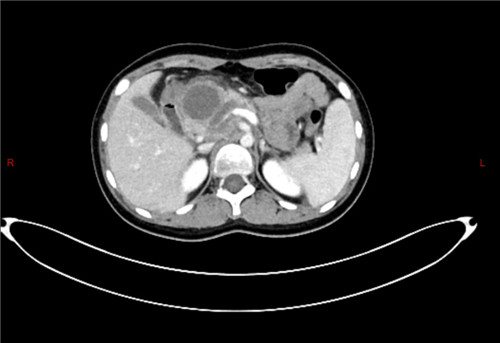
为确保手术安全,医院组织普外科、麻醉科、影像科、重症医学科等多学科专家联合会诊,制定个性化手术方案。术前腹部核磁共振及CT检查提供了肿瘤的位置、解剖关系影像学指导、术中采用先进的高清腹腔镜系统,实现了肿瘤的精准定位和完整切除,展现了医院在儿童疑难疾病综合诊疗方面的强大实力。


技术引领,造福三晋患儿
作为山西省儿童医疗领域的标杆,山西省儿童医院普外科长期致力于微创技术的创新与应用,先后开展多项高难度小儿腹腔镜手术。此次全腹腔镜下胰头部肿瘤切除术的成功,不仅为胰腺肿瘤患儿提供了更优的治疗选择,也为医院后续开展复杂儿童微创手术积累了宝贵经验。
随着医疗技术的进步,微创化、精准化已成为小儿外科的发展趋势。山西省儿童医院将持续提升技术水平,推动区域儿童疑难重症诊疗能力建设,为三晋儿童的健康成长保驾护航。